见圳客户端·深圳新闻网2021年4月6日讯 (记者 黄芷苑 )8岁的鹏鹏(化名)一颗乳磨牙松动一月有余,久未脱落,甚至还影响到了他正常饮食,于是家长便带着他前往深圳远东妇产医院口腔科就诊,要求医生为他拨出这个松动的乳牙。
乳牙松动查出颌骨囊肿
接诊医生王静静检查了鹏鹏的面部及口内情况后发现,还未完全替换掉的乳牙都存在不同程度的龋坏,右下第二乳磨牙颊侧颌骨骨壁隆起,前庭沟饱满,触压无疼痛,触感稍硬。在检查的过程中,家长说到,鹏鹏一年前因为右下乳磨牙牙髓炎,进行过根管治疗。王静静医生仔细检查鹏鹏的面部情况,察觉右面颊部较左面颊部稍显膨隆,预感可能不只是乳牙松动这么简单。便告知家长,做一个X光辅助检查,查看一下颌骨内未萌出的恒牙发育情况。

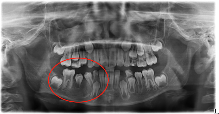
在X光片显示下,鹏鹏右下颌骨有大面积囊性阴影,而且松动的乳磨牙和未萌出的恒牙已经出现牙根外吸收的现象,如不给予治疗,囊肿有可能吸收掉整颗恒牙和部分颌骨骨质。
“开窗”手术拯救恒牙
经过与家长沟通,王静静医生为鹏鹏定制了治疗方案,采取“开窗减压术”,即在鹏鹏的颌骨上局部打开骨质及囊壁,引流出囊液,并制作阻塞器保持引流口通畅,使囊腔内外压力保持平衡,在颌骨的功能活动状态下,囊肿外周骨能得到新生,囊腔逐渐缩小,使外形得以恢复。

定制的阻塞器
在深圳远东医院集团口腔学科带头人黄盛兴教授的指导下,王静静医生为鹏鹏实施了“开窗减压术”,开窗去骨打开囊肿,抽取囊液,并用无菌性生理盐水反复冲洗后进行缝合。囊液取出后,鹏鹏的右下颌骨露出颊侧5mm*5mm的囊腔,然后佩戴上阻塞器,维持创口持续开放,便于囊液引流和冲洗,还能防止邻牙移位,起到间隙保持的作用。
针对这一治疗方法,黄盛兴教授指出,传统的治疗方法都是直接摘除囊肿并拔除受病变影响的牙齿,对颌骨和牙齿都有所损伤,这种方法对于儿童影响非常大。“开窗减压术”能做到让囊肿病变缩小,为保留颌骨和天然牙创造可能,有利于儿童口腔健康和颜面部正常发育。
术后恢复步步好转
在术后第十天,鹏鹏到院复查,囊腔成愈合状态,恢复良好,继续佩戴阻塞器,保持开窗减压;术后四个月,鹏鹏进行X光片复查,显示囊肿界限开始模糊,囊腔面积缩小,囊肿包裹的恒牙有萌出迹象;术后十个月,囊肿已经消失,囊腔愈合,恒牙萌出。但是王静静医生表示,由于鹏鹏的恒牙没有全部萌出,牙齿的后续发育情况会怎样,无法预知,需持续追踪,同时希望家长定期带鹏鹏进行检查,监测牙齿和颌面部的发育情况。

(术后四个月X光片)
预防颌骨囊肿家长需注意
王静静医生介绍说,颌骨囊肿是指在颌骨内出现的一种含有液体的囊性肿物,分为非牙源性(先天性)和牙源性(口腔疾病病变导致),青少年的发病比例要高于成年人。因囊肿发育缓慢,患者在早期时很难自觉发现,随着囊肿内部液体增多,体积增大,手指按压时会有乒乓球的触感。颌骨囊肿常伴有牙齿的缺损、咬合错乱等病症,严重时会导致骨损害和颜面部畸形。
深圳远东妇产医院口腔科每年都会接诊颌骨囊肿病例,颌骨囊肿多发于青少年,且症状不明显,很多家长都以为是孩子因为换牙或者学习压力大,上火了,多数都没有特别在意,忽略了进一步检查,贻误病情,所以王静静医生在此呼吁各位家长在关注孩子学习成长的同时,也要注意孩子的口腔健康,建议家长们:
1.预防大于治疗,家长同志们应督促孩子做好口腔卫生,早晚刷牙,饭后漱口,适龄进行全口涂氟和窝沟封闭。
2.如果孩子牙齿出现小黑点或小黑洞等龋坏现象,一定要尽早治疗,避免贻误病情,“拖”成大病。
3.口内的滞留乳牙、多生牙、阻生齿等,应尽早拔除,消除隐患。
4.每半年带孩子到医院口腔科进行口腔健康检查。


